When booking my 40 week check up I was certain that we wouldn't need it! But the days went by and there was absolutely zero movement at the station! The day before the due date we decided to book into a caravan park down by the beach to have a little holiday in our new … Continue reading Birth Story – Bear.
Third Trimester Update – 37 Weeks Pregnant.
Well been months since I last updated about my pregnancy! I am currently 37 weeks and SO READY TO HAVE THIS BABY. I'll be honest, pregnancy hasn't been my most favourite experience in life.. it is HARD. WORK. I still throw up roughly 4 times a week and need tablets to make me stop. So … Continue reading Third Trimester Update – 37 Weeks Pregnant.
The Result.
My genetic counsellor (Debbie) told me to bring someone with me to the appointment and that regardless of the result it can still be a very emotional thing to experience. It was a Tuesday and my mum came with me. Debbie asked how I was and how I'd coped the last few weeks. Then she … Continue reading The Result.
To test or not to test.
was 1993, when I was 4 years old, my Aunty Annie (mum's sister) was diagnosed with breast cancer (bc). I can remember my mum going into a different room with her to help change her dressings. Then they'd both come out and we would make little boxes out of old birthday cards. She died in … Continue reading To test or not to test.
That Time I Broke My Neck.
I feel like New Years Eve is a little overrated. There is always such hype over the night and how you just know that this year will be different. This year will be your year. The year that you get your shit together, save money, lose weight, quit the job you fucking hate, travel more … Continue reading That Time I Broke My Neck.
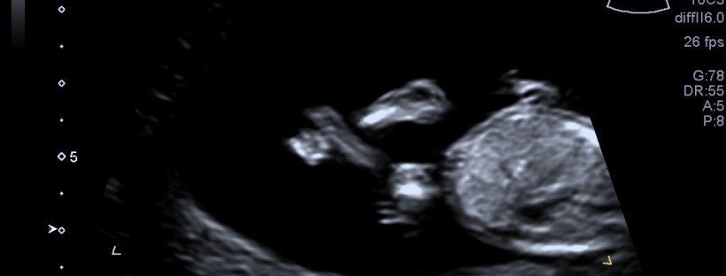
25 Weeks Pregnant + SPD.
SPD - Symphysis Pubis Dysfunction. In other words, the condition making my life incredibly difficult at the moment! More on that later! 25 weeks pregnant now and I'm stoked to know that our little bubba would be considered viable outside the womb! I'm being kicked CONSTANTLY throughout the day and night which I'm trying to … Continue reading 25 Weeks Pregnant + SPD.
Best Zucchini Slice ever.
Zucchini slice is life, obvs. This one though, is like none I've ever tasted before! So delicious and moist (surely I'm not the only one that hates this word.. but there's no better word to describe it!)! I can literally eat the entire thing in one sitting. It's from Belinda Jeffery's Mix and Bake. She … Continue reading Best Zucchini Slice ever.
A Day of Eating.
After quite a few requests on Instagram, I decided to track a standard day of eating. This is definitely not how I eat everyday as pregnancy cravings and just lack of time/organisation/laziness ensure slip ups! But when I have my prep done and I'm not feeling like the toilet bowl is my best friend.. 😐 … Continue reading A Day of Eating.
Second Trimester (so far).
As of today I am 23 weeks and 1 day! Whaaaat! I feel like time is going so.slowly. However, sitting here, reflecting over the past 20 weeks, while being pummelled from the inside, I realise that actually, it has gone pretty fast. I hadn't vomited in THREE WHOLE DAYS! I was feeling pretty stuck up … Continue reading Second Trimester (so far).
Feeling baby’s first kick.
At 15 weeks and 2 days I felt my baby move for the first time. I was 95% sure at the time that that's what I'd felt. I knew that it was a bit early for a first baby however I'm so in tune with my body after the miscarriages that I pretty much … Continue reading Feeling baby’s first kick.